対話と信頼
歯並び、咬み合わせの事で
お悩みはありますか?
私たちに
聞かせて
ください
歯並び、咬み合わせの事で
お悩みはありますか?
私たちに
聞かせて
ください








こちらの方で独善的に「この方針でいきましょう」と言うのではなくて、それぞれの方針で治療を行ったときのメリット、デメリットをよく説明し、比較検討してもらい、最終的に患者様に方針を選択してもらうという方法で治療を進めています。子どもから大人の矯正治療まで幅広く対応しております。お気軽にお問合せください。
私たちは、歯並びに対して、患者様が気にされている点、不満に思われている点等をしっかりお伺いしたうえで、患者様の治療後の健康面も考慮した治療目標を提案いたします。ですから、初診相談では、気になる点はどんなことでもご相談ください。
言葉のキャッチボールをしっかりとした上で治療を開始し、患者様との間に信頼関係を築いていきたいと思っています。
歯列矯正治療は一般に長期間の治療となりますので、それを無事やり終えるためには、私たちと患者様との間に信頼関係を築くことがとても大切だと考えております。
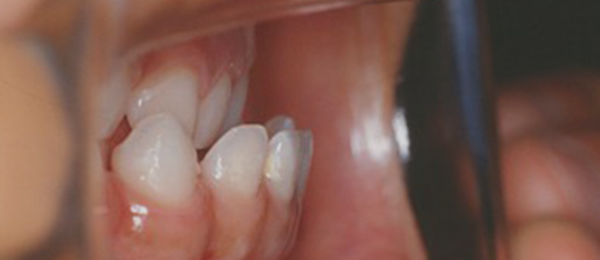
開咬は食べ物がうまく咬みきれないために、奥歯だけで咬んでしまったり、正しく発音できなかったりとデメリットがございます。開咬が気になり、矯正治療をお考えの方はまずは当院にお問合せ・ご相談ください。
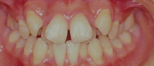
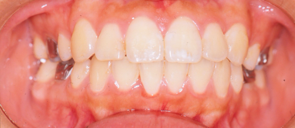
正中不一致とは、上下の歯の真ん中があっていないことを言います。咬み合せが気になる方、矯正治療をお考えの方はまずは当院にお問合せ・ご相談ください。
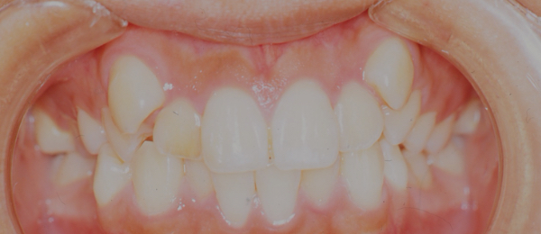
先天的欠損は、基本的には1~2本が欠けている場合が多いですが、中には全く生えてこないといったケースもございます。永久歯が生えてこないと、歯並び・咬み合せに異常をきたして上手く咬むことが出来なかったり、むし歯や歯周病の原因なったりします。
最近では、患者様にできるだけ負担をかけず、装置自体も審美性の高いものを提供できるようになってきていますので、一人でくよくよ悩まずに当院へ相談に来てください。
のちの症例紹介のページで各症例ごとに総額で費用は載せていますが、一般的に言いますと、当医院では55万円~88万円(税込)となります。費用に幅があるのは、治療を終えるのにどのくらい期間がかかったか、どのような装置を使ったか、どのような治療方針で行ったのか等により幅が生じます。治療を始める前に、書面にて治療費総額をお伝えしますので、これも参考にして治療を受けられるか否かを決めていただくことになります。
矯正歯科治療に伴う一般的なリスクと副作用について
1. う蝕、歯肉炎を引き起こしやすい。
装置装着時にその装置にあった歯ブラシ等の使い方を説明し練習していただきますが、実行するのは患者さん自身ですので治療を受ける前にしっかり考えて決めてください。
2. 歯根吸収
歯の根っこの先が吸収され短くなることです。歯科矯正治療を受けた場合は、多かれ少なかれ起こります。 起こらないよう対策はありますので慎重に治療を進めていきます。
3. 後戻り
歯を動かす治療が終わってから勝手に歯が動いてしまうことがあります。こうならないように、前歯の裏側に細いワイヤーを張り付け固定し長期間その状態を維持していきます。他にリスクではないですが不快事項としてお伝えしなくてはならないことに、痛みがあります。歯に力をかけると、翌朝から三日間食事の時にものを噛むと歯に響く痛みがあります。成人の方ほど強く出る傾向にあります。以上のことをよくお考えになったうえで、治療を受けられるか否かお決めください。
その他、歯周病、疼痛などがあげられます。